
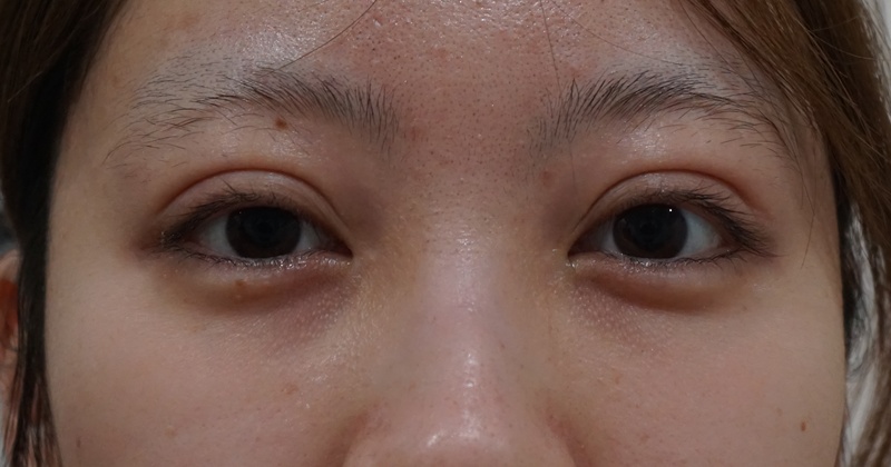
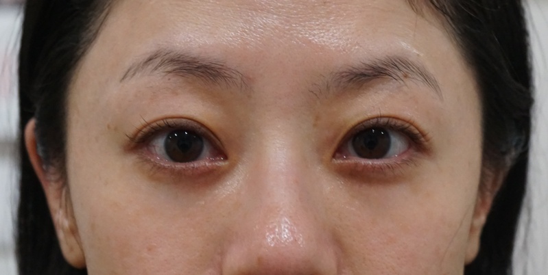
Before

After
リスクや副作用:
•腫れや内出血が出る
•左右差が出ることがある
•再発する可能性が否定できない
費用
•切らない目の下のたるみ取り(通常料金)239,800円(モニター料金)165,000円
•目の下の切らないたるみ取り+脂肪注入(通常料金)382,800円(モニター料金)294,800円
•ハムラ法(通常料金)382,800円(モニター料金)294,800円
•裏ハムラ法(通常料金)382,800円(モニター料金)294,800円
詳しくみる >

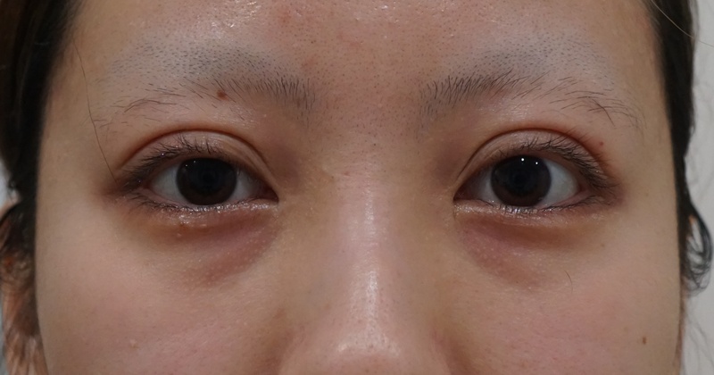
Before

After
リスクや副作用:
•腫れや内出血が出る
•左右差が出ることがある
•再発する可能性が否定できない
費用
•切らない目の下のたるみ取り(通常料金)250,000円(モニター料金)180,000円
•目の下の切らないたるみ取り+脂肪注入(通常料金)390,000円(モニター料金)320,000円
•ハムラ法 (通常料金)390,000円(モニター料金)320,000円
•裏ハムラ法 (通常料金)390,000円(モニター料金)320,000円
詳しくみる >

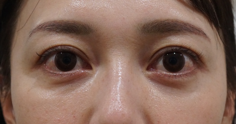
Before

After
リスクや副作用:
•腫れや内出血が出る
•左右差が出ることがある
•再発する可能性が否定できない
費用
•切らない目の下のたるみ取り(通常料金)250,000円(モニター料金)180,000円
•目の下の切らないたるみ取り+脂肪注入(通常料金)390,000円(モニター料金)320,000円
•ハムラ法 (通常料金)390,000円(モニター料金)320,000円
•裏ハムラ法 (通常料金)390,000円(モニター料金)320,000円
詳しくみる >

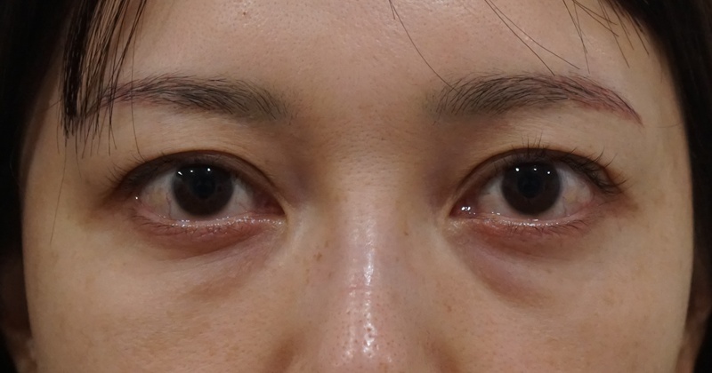
Before

After
リスクや副作用:
•腫れや内出血が出る
•左右差が出ることがある
•再発する可能性が否定できない
費用
•切らない目の下のたるみ取り(通常料金)250,000円(モニター料金)180,000円
•目の下の切らないたるみ取り+脂肪注入(通常料金)390,000円(モニター料金)320,000円
•ハムラ法 (通常料金)390,000円(モニター料金)320,000円
•裏ハムラ法 (通常料金)390,000円(モニター料金)320,000円
詳しくみる >

Before

After
リスクや副作用:
•腫れや内出血が出る
•左右差が出ることがある
•再発する可能性が否定できない
費用
•切らない目の下のたるみ取り(通常料金)250,000円(モニター料金)180,000円
•目の下の切らないたるみ取り+脂肪注入(通常料金)390,000円(モニター料金)320,000円
•ハムラ法 (通常料金)390,000円(モニター料金)320,000円
•裏ハムラ法 (通常料金)390,000円(モニター料金)320,000円
詳しくみる >

Before

After
リスクや副作用:
•腫れや内出血が出る
•左右差が出ることがある
•再発する可能性が否定できない
費用
•切らない目の下のたるみ取り(通常料金)250,000円(モニター料金)180,000円
•目の下の切らないたるみ取り+脂肪注入(通常料金)390,000円(モニター料金)320,000円
•ハムラ法 (通常料金)390,000円(モニター料金)320,000円
•裏ハムラ法 (通常料金)390,000円(モニター料金)320,000円
詳しくみる >

Before

After
リスクや副作用:
•腫れや内出血が出る
•左右差が出ることがある
•再発する可能性が否定できない
費用
•切らない目の下のたるみ取り(通常料金)250,000円(モニター料金)180,000円
•目の下の切らないたるみ取り+脂肪注入(通常料金)390,000円(モニター料金)320,000円
•ハムラ法 (通常料金)390,000円(モニター料金)320,000円
•裏ハムラ法 (通常料金)390,000円(モニター料金)320,000円
詳しくみる >

Before

After
リスクや副作用:
•腫れや内出血が出る
•左右差が出ることがある
•再発する可能性が否定できない
費用
•切らない目の下のたるみ取り(通常料金)250,000円(モニター料金)180,000円
•目の下の切らないたるみ取り+脂肪注入(通常料金)390,000円(モニター料金)320,000円
•ハムラ法 (通常料金)390,000円(モニター料金)320,000円
•裏ハムラ法 (通常料金)390,000円(モニター料金)320,000円
詳しくみる >

Before

After
リスクや副作用:
•腫れや内出血が出る
•左右差が出ることがある
•再発する可能性が否定できない
費用
•切らない目の下のたるみ取り(通常料金)250,000円(モニター料金)180,000円
•目の下の切らないたるみ取り+脂肪注入(通常料金)390,000円(モニター料金)320,000円
•ハムラ法 (通常料金)390,000円(モニター料金)320,000円
•裏ハムラ法 (通常料金)390,000円(モニター料金)320,000円
詳しくみる >

Before

After
リスクや副作用:
•腫れや内出血が出る
•左右差が出ることがある
•再発する可能性が否定できない
費用
•切らない目の下のたるみ取り(通常料金)250,000円(モニター料金)180,000円
•目の下の切らないたるみ取り+脂肪注入(通常料金)390,000円(モニター料金)320,000円
•ハムラ法 (通常料金)390,000円(モニター料金)320,000円
•裏ハムラ法 (通常料金)390,000円(モニター料金)320,000円
詳しくみる >