症例の詳細
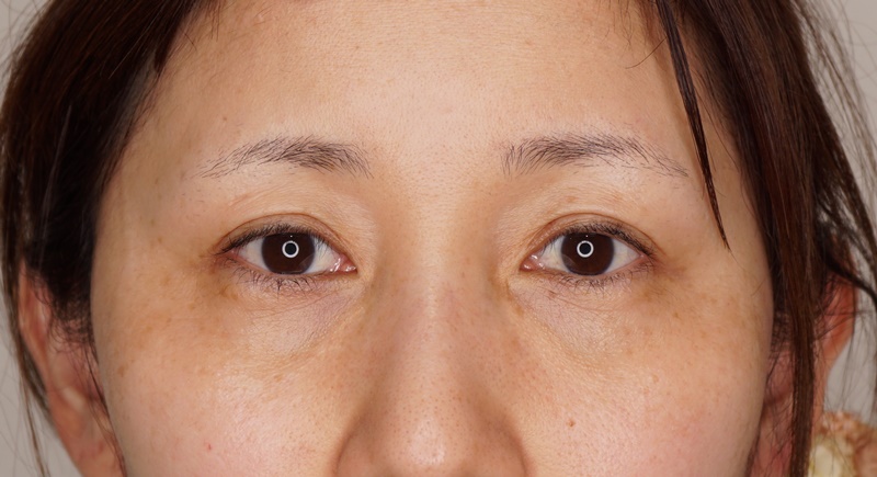
目の上のたるみ取り手術をお受けになられた40代女性。
術前から3か月目までの経過です。
術前
直後
1週間
1か月
3か月
対応に関するアンケート

当院の二重整形切開法の費用
| 通常料金 | モニター料金 | ||
| 二重切開法 | 全切開(皮膚切除や脂肪除去も含む) | 272,800円 | 195,800円 |
| 部分切開 | 195,800円 | 140,800円 | |
| 全切開+眼瞼下垂 | 437,800円 | 327,800円 | |
| 全切開+ROOF切除 | 415,800円 | 281,600円 | |
| 目頭切開 | 217,800円 | 140,800円 | |
| 目尻切開 | 217,800円 | 140,800円 | |
| たれ目の整形 | 272,800円 | 195,800円 | |
| 目の上のたるみ取り | 195,800円 | 140,800円 | |
| 眉下切開 | 217,800円 | 151,800円 | |
| 眉下切開+ROOF切除 | 382,800円 | 217,800円 |
*別途 静脈麻酔 30,000円(税込)
リスクや副作用:
•腫れ、内出血が出る
•時間とともに目立ちにくくなる事も多いが、傷ができる
•左右差が出ることがある
•思った通りの結果にならないことがある
切開法の費用:140,800円~437,800円(切開手術の組み合わせによります) *別途 静脈麻酔 30,000円(税込)
切開法の費用:140,800円~437,800円(切開手術の組み合わせによります) *別途 静脈麻酔 30,000円(税込)
