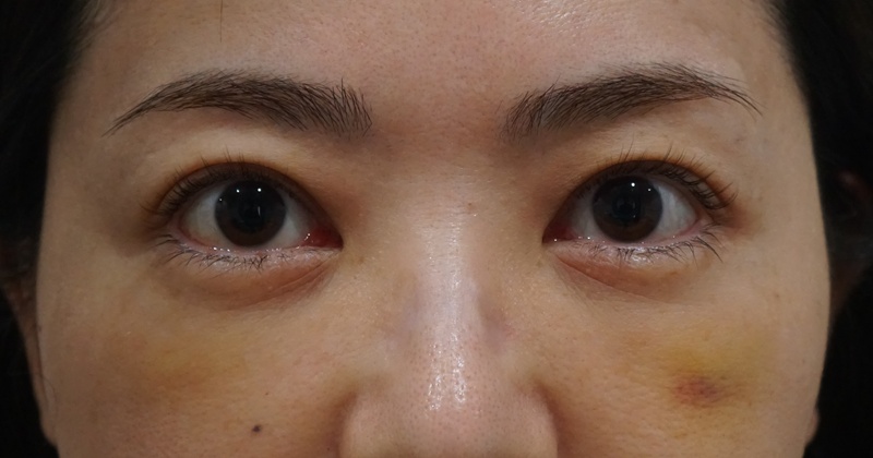
症例の詳細
裏ハムラ法の手術を受けられた30代女性。
術前から3.5か月後までの経過です。
術前
1週間
1か月

3か月
術前 笑顔
3.5か月 笑顔
目の下の手術のリスクや副作用
- 腫れや内出血が出る
- 左右差が出ることがある
- 再発する可能性が否定できない
当院の目の下の手術の費用
| 費用 | 通常料金 | モニター料金 |
|---|---|---|
| 切らない目の下のたるみ取り | 270,000円 | 200,000円 |
| 目の下の切らないたるみ取り+脂肪注入 |
420,000円 |
340,000円 |
| ハムラ法(目の下のたるみ取り) | 460,000円 | 380,000円 |
|
裏ハムラ法(目の下の切らない脂肪移動) |
420,000円 |
340,000円 |
|
目の下の修正(眼窩隔膜前面のもの) |
480,000円 |
380,000円 |
|
目の下の修正(筋肉内のもの) |
660,000円 |
550,000円 |
*修正手術は状態によってお見積もりが変わる場合があります。
*別途 静脈麻酔 30,000円(税込)
リスクや副作用:
•腫れや内出血が出る
•左右差が出ることがある
•再発する可能性が否定できない
費用 •切らない目の下のたるみ取り(通常料金)270,000円(モニター料金)200,000円 •目の下の切らないたるみ取り+脂肪注入(通常料金)420,000円(モニター料金)340,000円 •ハムラ法(通常料金)460,000円(モニター料金)380,000円 •裏ハムラ法(通常料金)420,000円(モニター料金)340,000円 •目の下の修正(眼窩隔膜前面のもの)(通常料金)480,000円(モニター料金)380,000円 •目の下の修正(筋肉内のもの)(通常料金)660,000円(モニター料金)550,000円 *別途 静脈麻酔 30,000円(税込)
費用 •切らない目の下のたるみ取り(通常料金)270,000円(モニター料金)200,000円 •目の下の切らないたるみ取り+脂肪注入(通常料金)420,000円(モニター料金)340,000円 •ハムラ法(通常料金)460,000円(モニター料金)380,000円 •裏ハムラ法(通常料金)420,000円(モニター料金)340,000円 •目の下の修正(眼窩隔膜前面のもの)(通常料金)480,000円(モニター料金)380,000円 •目の下の修正(筋肉内のもの)(通常料金)660,000円(モニター料金)550,000円 *別途 静脈麻酔 30,000円(税込)

