二重整形・目元の手術の症例写真 > 裏ハムラ法

裏ハムラ法 347

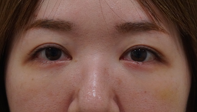
Before

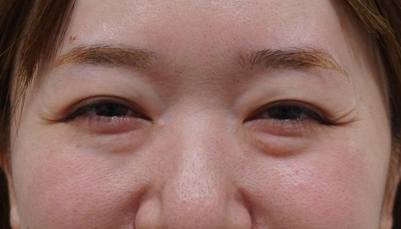
After

症例の詳細

裏ハムラ法を受けられた30代女性。

術前から3か月後までの経過です。

術前

直後

1週間目

1か月目

3か月目

術前笑顔

3か月目笑顔

対応に関するアンケート

 

目の下の手術のリスクや副作用

  • 腫れや内出血が出る
  • 左右差が出ることがある
  • 再発する可能性が否定できない

当院の目の下の手術の費用

費用 通常料金 モニター料金
切らない目の下のたるみ取り 270,000円 200,000円
目の下の切らないたるみ取り+脂肪注入

420,000円

340,000円
ハムラ法(目の下のたるみ取り) 460,000円 380,000円
裏ハムラ法(目の下の切らない脂肪移動) 420,000円 340,000円

*修正手術は状態によってお見積もりが変わる場合があります。

*麻酔代別途
 静脈麻酔 30,000円(税込)

リスクや副作用: •腫れや内出血が出る •左右差が出ることがある •再発する可能性が否定できない
費用 •切らない目の下のたるみ取り(通常料金)270,000円(モニター料金)200,000円 •目の下の切らないたるみ取り+脂肪注入(通常料金)420,000円(モニター料金)340,000円 •ハムラ法(通常料金)460,000円(モニター料金)380,000円 •裏ハムラ法(通常料金)420,000円(モニター料金)340,000円 *別途 静脈麻酔 30,000円(税込)