
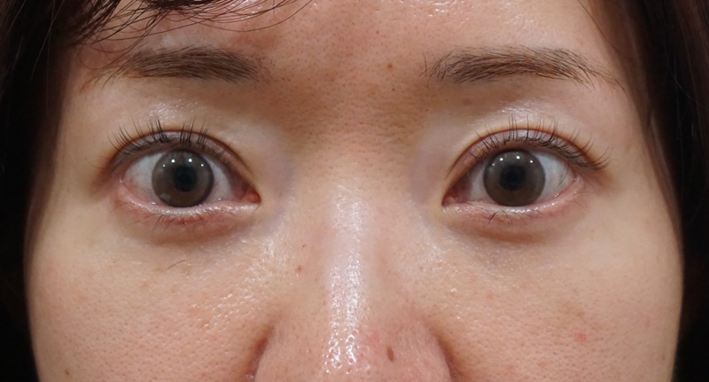
Before

After
リスクや副作用:
•腫れや内出血が出る
•左右差が出ることがある
•再発する可能性が否定できない
費用
•切らない目の下のたるみ取り(通常料金)270,000円(モニター料金)200,000円
•目の下の切らないたるみ取り+脂肪注入(通常料金)420,000円(モニター料金)340,000円
•ハムラ法(通常料金)460,000円(モニター料金)380,000円
•裏ハムラ法(通常料金)420,000円(モニター料金)340,000円
•目の下の修正(眼窩隔膜前面のもの)(通常料金)480,000円(モニター料金)380,000円
•目の下の修正(筋肉内のもの)(通常料金)660,000円(モニター料金)550,000円
*別途 静脈麻酔 30,000円(税込)
詳しくみる >

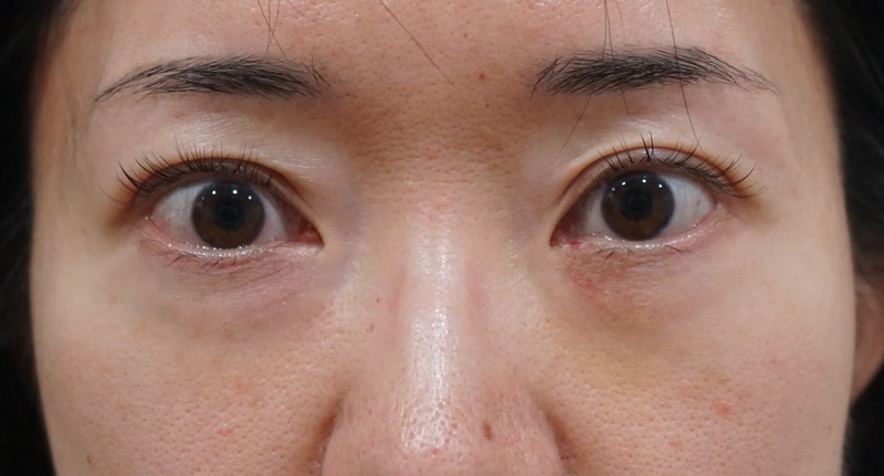
Before

After
リスクや副作用:
•腫れや内出血が出る
•左右差が出ることがある
•再発する可能性が否定できない
費用
•切らない目の下のたるみ取り(通常料金)270,000円(モニター料金)200,000円
•目の下の切らないたるみ取り+脂肪注入(通常料金)420,000円(モニター料金)340,000円
•ハムラ法(通常料金)460,000円(モニター料金)380,000円
•裏ハムラ法(通常料金)420,000円(モニター料金)340,000円
•目の下の修正(眼窩隔膜前面のもの)(通常料金)480,000円(モニター料金)380,000円
•目の下の修正(筋肉内のもの)(通常料金)660,000円(モニター料金)550,000円
*別途 静脈麻酔 30,000円(税込)
詳しくみる >

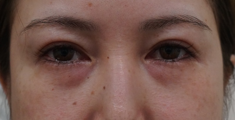
Before

After
リスクや副作用:
•腫れや内出血が出る
•左右差が出ることがある
•再発する可能性が否定できない
費用
•切らない目の下のたるみ取り(通常料金)270,000円(モニター料金)200,000円
•目の下の切らないたるみ取り+脂肪注入(通常料金)420,000円(モニター料金)340,000円
•ハムラ法(通常料金)460,000円(モニター料金)380,000円
•裏ハムラ法(通常料金)420,000円(モニター料金)340,000円
•目の下の修正(眼窩隔膜前面のもの)(通常料金)480,000円(モニター料金)380,000円
•目の下の修正(筋肉内のもの)(通常料金)660,000円(モニター料金)550,000円
*別途 静脈麻酔 30,000円(税込)
詳しくみる >

Before

After
リスクや副作用:
•腫れや内出血が出る
•左右差が出ることがある
•再発する可能性が否定できない
費用
•切らない目の下のたるみ取り(通常料金)270,000円(モニター料金)200,000円
•目の下の切らないたるみ取り+脂肪注入(通常料金)420,000円(モニター料金)340,000円
•ハムラ法(通常料金)460,000円(モニター料金)380,000円
•裏ハムラ法(通常料金)420,000円(モニター料金)340,000円
•目の下の修正(眼窩隔膜前面のもの)(通常料金)480,000円(モニター料金)380,000円
•目の下の修正(筋肉内のもの)(通常料金)660,000円(モニター料金)550,000円
*別途 静脈麻酔 30,000円(税込)
詳しくみる >

Before

After
リスクや副作用:
•腫れや内出血が出る
•左右差が出ることがある
•再発する可能性が否定できない
費用
•切らない目の下のたるみ取り(通常料金)270,000円(モニター料金)200,000円
•目の下の切らないたるみ取り+脂肪注入(通常料金)420,000円(モニター料金)340,000円
•ハムラ法(通常料金)460,000円(モニター料金)380,000円
•裏ハムラ法(通常料金)420,000円(モニター料金)340,000円
•目の下の修正(眼窩隔膜前面のもの)(通常料金)480,000円(モニター料金)380,000円
•目の下の修正(筋肉内のもの)(通常料金)660,000円(モニター料金)550,000円
*別途 静脈麻酔 30,000円(税込)
詳しくみる >

Before

After
リスクや副作用:
•腫れや内出血が出る
•左右差が出ることがある
•再発する可能性が否定できない
費用
•切らない目の下のたるみ取り(通常料金)270,000円(モニター料金)200,000円
•目の下の切らないたるみ取り+脂肪注入(通常料金)420,000円(モニター料金)340,000円
•ハムラ法(通常料金)460,000円(モニター料金)380,000円
•裏ハムラ法(通常料金)420,000円(モニター料金)340,000円
•目の下の修正(眼窩隔膜前面のもの)(通常料金)480,000円(モニター料金)380,000円
•目の下の修正(筋肉内のもの)(通常料金)660,000円(モニター料金)550,000円
*別途 静脈麻酔 30,000円(税込)
詳しくみる >

Before

After
リスクや副作用:
•腫れや内出血が出る
•左右差が出ることがある
•再発する可能性が否定できない
費用
•切らない目の下のたるみ取り(通常料金)270,000円(モニター料金)200,000円
•目の下の切らないたるみ取り+脂肪注入(通常料金)420,000円(モニター料金)340,000円
•ハムラ法(通常料金)460,000円(モニター料金)380,000円
•裏ハムラ法(通常料金)420,000円(モニター料金)340,000円
•目の下の修正(眼窩隔膜前面のもの)(通常料金)480,000円(モニター料金)380,000円
•目の下の修正(筋肉内のもの)(通常料金)660,000円(モニター料金)550,000円
*別途 静脈麻酔 30,000円(税込)
詳しくみる >

Before

After
リスクや副作用:
•腫れや内出血が出る
•左右差が出ることがある
•再発する可能性が否定できない
費用
•切らない目の下のたるみ取り(通常料金)270,000円(モニター料金)200,000円
•目の下の切らないたるみ取り+脂肪注入(通常料金)420,000円(モニター料金)340,000円
•ハムラ法(通常料金)460,000円(モニター料金)380,000円
•裏ハムラ法(通常料金)420,000円(モニター料金)340,000円
•目の下の修正(眼窩隔膜前面のもの)(通常料金)480,000円(モニター料金)380,000円
•目の下の修正(筋肉内のもの)(通常料金)660,000円(モニター料金)550,000円
*別途 静脈麻酔 30,000円(税込)
詳しくみる >

Before

After
リスクや副作用:
•腫れや内出血が出る
•左右差が出ることがある
•再発する可能性が否定できない
費用
•切らない目の下のたるみ取り(通常料金)270,000円(モニター料金)200,000円
•目の下の切らないたるみ取り+脂肪注入(通常料金)420,000円(モニター料金)340,000円
•ハムラ法(通常料金)460,000円(モニター料金)380,000円
•裏ハムラ法(通常料金)420,000円(モニター料金)340,000円
•目の下の修正(眼窩隔膜前面のもの)(通常料金)480,000円(モニター料金)380,000円
•目の下の修正(筋肉内のもの)(通常料金)660,000円(モニター料金)550,000円
*別途 静脈麻酔 30,000円(税込)
詳しくみる >

Before

After
リスクや副作用:
•腫れや内出血が出る
•左右差が出ることがある
•再発する可能性が否定できない
費用
•切らない目の下のたるみ取り(通常料金)270,000円(モニター料金)200,000円
•目の下の切らないたるみ取り+脂肪注入(通常料金)420,000円(モニター料金)340,000円
•ハムラ法(通常料金)460,000円(モニター料金)380,000円
•裏ハムラ法(通常料金)420,000円(モニター料金)340,000円
•目の下の修正(眼窩隔膜前面のもの)(通常料金)480,000円(モニター料金)380,000円
•目の下の修正(筋肉内のもの)(通常料金)660,000円(モニター料金)550,000円
*別途 静脈麻酔 30,000円(税込)
詳しくみる >